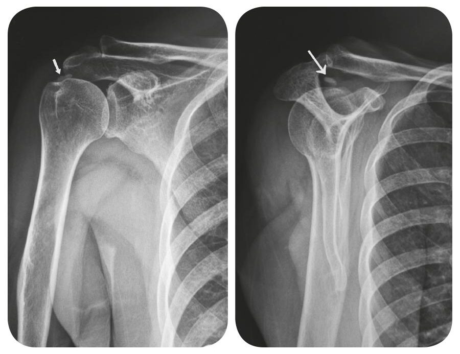
Les tendinopathies de la coiffe des rotateurs sont parmi les plus fréquentes du corps. Le terme de tendinite est parfois utilisé mais il semble impropre car le « ite » en médecine définit des pathologies inflammatoires.
Or, il semblerait qu’il n’y ait pas ou peu d’inflammation au niveau des tendons de la coiffe des rotateurs. La longue portion du biceps peut être davantage le siège d’une inflammation ; on parle alors de tendinite du long biceps ou de tenosynovite. Une tendinopathie correspond à une modification de la structure du tendon mais aussi de sa fonction. Elle est fréquemment associée à de la douleur et parfois à une perte de force.

