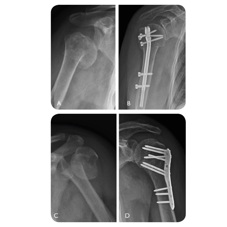
Les fractures de l’extrémité supérieure de l’humérus sont fréquentes. Il en existe différents types. Elles peuvent donner lieu à une immobilisation plus ou moins longue, parfois après une intervention chirurgicale.
Dans tous les cas, la rééducation devra être mise en œuvre afin de récupérer une fonction optimale. Cette rééducation sera longue et nécessitera une participation importante de votre part afin de minimiser le risque de séquelles. Après le traumatisme, une radiographie est réalisée. Elle est analysée par le médecin qui évalue en fonction de votre âge, de vos activités, du type de fracture et d’autres facteurs médicaux, le traitement qui permettra la meilleure récupération. Parfois un scanner peut être nécessaire avant de décider de procéder à une intervention chirurgicale. 80% des fractures de l’épaule ne nécessitent pas de chirurgie.

